9.21
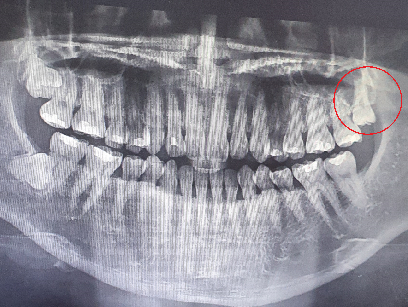
좌측 위에 사랑니가 반쯤 나와있었는데 그상태로 몇년이 흐르고 쓰는데 지장은 없었는데 치과 검진 중 사랑니 일부와 옆에 어금이가 썩어있었다. 그래서 치과 3군데를 가본 결과 빼는게 좋겠다고 해서 고민하다가 발치를 하였다. 두려웠지만 마취 후 생각보다 금방 발치했다. 5분도 안 걸린듯..

반대 쪽 위 아래에도 사랑니가 있는데 외관상으로 나오진 않았고 통증도 없었다. 저건 안나올거라고 해서 천만다행.. 근데 사랑니 자세가 굉장히 불안하다. 나중에 통증을 몰고 올 것 같은...
발치 후 거즈 물고 있다가 3시간 후에 빼고 조심 조심 씹고 먹고 하고 있었는데 이틀 째인가 양치하는데 코로 쪼로록 물이 흘렀다. 콧물은 아닌거 같았는데 처음에는 그냥 콧물인가 싶어서 넘겼는데 다음 날 무의식적으로 물을 머금고 삼키는데 코로 물이 쫘악 나왔다;; 순간 당황.. 뭐지 싶었다. 그래서 인터넷 검색해보니 "상악동 천공" 이라고 한다. 이름도 희한한게 무슨 동네 이름에 천공스님이 붙은 느낌..

상악동이라는 빈 공간과 치아의 뿌리가 근접해서 발치시 뚫리는 뭐 그런 경우라고 하는데.. 발치할 때는 그런 경우가 생긴다는 말은 듣지 못했고 나 또한 그런 현상이 있는지도 몰랐었다.

증상과 치료를 찾아보았는데 보통 자연 치유되어서 2~3주면 다시 구멍이 막힌다고 한다. 어쩐지 발치하고 나서 숨쉬는데도 뭔가 공기가 새는 느낌이 났었다. 그리고 보통 거즈를 물고 나면 발치한 자리에 피떡이 생겨서 막힌 상태로 치유가 된다는데 어떠한 이유로 피떡이 탈락되어서 발생한다고도 한다. 생각해보니 몇번 코가 간지러워서 재채기를 한 적이 있었는데 그 때 탈락된걸까.. 재채기 참으려고 했는데 참을 수가 없었는데..
치과에 다시 가보았는데 의사쌤도 상악동 천공이라고 하고 시간 지나면 자연스레 막힌다고 한다. 효과는 별로 없겠지만 원하면 꿰매준다고 했는데 자연 치유 되면 그냥 기다려보겠다 하고 나왔다. 아무튼 이후로 코에 압력이 가하는 행동은 안하려고 노력했다. 고개 숙이기나 바람 불기도 안하고 입풍선도 안하고 양치 후 가글도 한쪽으로만 물 머금고 살짝 했고 헹구는 것도 그냥 물을 흘려보내듯 뱉어냈다. (그냥 호스로 입에 물을 넣어서 헹구는 느낌으로).
이후 밥을 먹는데.. 하... 고역이었다. 한쪽으로만 몰아서 씹는데 괜히 사랑니쪽 닿을까봐 신경쓰여서 이게 밥을 먹는건지 모르겠다. 처음에는 부드러운 죽이나 빵 이런 것만 먹었는데 많이 먹지도 못해서 하루종일 배고팠다. 그래서 한 5일차 부터는 그냥 밥 반찬해서 먹었는데 그것도 조금씩만 먹었다. 괜히 많이 먹었다가 구멍난 곳에 음식물 들어갈 것 같고 그래서... 그리고 또 한가지 힘든 점이 보통 음식을 먹으면 한입 물고 씹어 먹는데 이건 한쪽으로만 씹으니까 맛을 반만 느낀다. 그래서 맛있는 걸 먹어도 먹은 것 같지가 않았다.. 맘 같아서 한 입 가득 물고 혀 전체로 맛을 느끼면 먹고 싶은데 그게 안된다.
또 은근한 통증이 있다. 씹지도 못하고 심하게 아픈 건 아닌데 사랑니 빠진 자리에 살이 차는 건지 뼈가 차고 있어서 그런건지 은근하게 욱신 거리는 느낌이 지속된다. 그거 때문에 괜히 두통도 있는 것 같고 하루종일 신경쓰인다. 좀 더 비유하자면 이와 이사이에 음식물이 껴서 뻐근한 느낌? 같다. 긍정회로 풀로 돌려서 치유되고 있는 거라고 생각하며 버텨본다.
이걸 언제까지 해야되나 싶고.. 넉넉잡고 3주 보고 있는데 글을 쓰는 이 시점이 겨우 1주일차다. 빨리 아무는 방법이 없을까. 그리고 입 안을 보기 위해 치경도 하나 샀다. 한번 보니까 구멍안에 하얀게 보이는데 음식물인가 싶다가도 아물고 있는 뼈 있가보다 생각했다. 근데 이게 순서가 잇몸이 먼저 아무는게 아니라 뼈가 먼저 아무는건가 생각했는데 좀 더 지켜봐야겠다. 사진도 찍어보고 싶은데 찍을 각도가 안나온다. 내시경 캠이 있어야 찍을 수 있을 것 같다.
9.27
물 먹을 때도 여전히 조심히 마시지만 코로 물이 넘어가는 경우는 없었다. 양치할 때도 괜찮았지만 아직은 그래도 불안한 느낌. 아직도 발치한 자리가 조금 걸리적 거리게 신경쓰이는 상태이다. 허리 굽혀 고개 숙여서 무언가를 집을 때 압력이 가해지는 느낌이 난다. 하루 자고 나면 통증은 거의 없는데 음식을 먹고나면 조금 욱신거리는 느낌이 난다. 씹지 않으면 괜찮고 뭔가를 씹고나면 영향이 가는 듯 하다. 조심히 씹긴 하지만 그래도 어쩔 수 없이 발치한 곳에 음식물이 닿긴 닿아서 그런가보다. 찬물을 머금고 있으면 통증이 좀 가라앉는 듯 하다. 미세하게나마 닫혀있는 것 같긴한데 어서 빨리 자리가 잡혔으면 좋겠다. 치경으로 확인 한번 해봤는데 아직도 발치 자리에 하얀게 보인다. 아무래도 음식물인거 같긴한데 이건 살이 점점 차오르면 점점 음식물이 안끼게 된다고 하고 발치 1주일 정도 지난 후에는 가글을 통해 제거를 해도 된다고 한다. (인터넷 검색 피셜)
9.30
통증이 없었는데 오후 쯤 부터 갑자기 다시 통증이 온다. 여기서 말한 통증은 일상 생활을 못할 정도의 통증은 아니고 계속 신경쓰이는 통증이다. 발치 부분이 다시 욱신거리기 시작. 물 먹을 때도 뭔가 물이 천공으로 넘어가는 느낌도 있었는데 넘어가진 않은 것 같다. 아직 완벽한게 막히진 않은 모양.. 밥 좀 제대로 먹고 싶다.. 다행히 저녁되서는 좀 가라앉았고 처음 가그린을 써보았다. 발치 쪽도 가글가글 했는데 다행히 넘어가는 느낌은 없었다. 막히긴 막힌듯 하다.
10.1
아침에 멍한 상태로 밥먹다가 나도 모르게 그냥 평소처럼 밥을 씹고 있었다. 그러다 아차하고 발치한 곳으로 안씹으려고 했는데 생각보다 큰 불편함이 없었다. 양쪽으로 씹어도 괜찮았다. 허지만 음식물이 끼는 느낌은 아직 나고 있어서 그래도 전보다는 덜 신경쓰지만 아직은 되도록이면 발치한 곳으로 씹지 않도록 신경쓰면서 밥을 먹었다.
10.2
오 느낌이 다르다. 아직까진 음식을 먹을 때 걸리적거리긴 하나 크게 지장이 있진 않았다. 치경 거울로 보니 아직 구멍은 있으나 속에선 막힌듯하다. 어느 정도 안정기에 접어든 느낌
10.3
상태가 많이 호전된 듯 하다. 이제 양치 가글도 평소처럼 가능했고 음식도 예전처럼 아무 생각없이 씹어도 될 정도였다. 이 상태로만 이제 발치된 공간이 살로 메워지기만을 기다리면 될 것 같다.
10.4
방심했나 오랜만에 돈가스를 먹어서 그런지 아무 생각없이 씹어먹었다. 먹고나서 뭔가 음식물이 끼어있는 느낌이었는데 양치 하고 나서 보니 껴있는 건 없었다. 근데 마치 뭐기 끼인듯한 느낌이 든다. 먹기 전에는 아무 느낌 없었는데 먹고나니 걸리적거리는 느낌이 든다. 통증이 있는 건 아니지만 먹을 때 너무 신경을 안 쓴것 같다. 앞으로 구멍이 살로 다 찰 때까진 최대한 그쪽으로 안씹도록 조심해야겠다.
10.12
예전과 다름없는 일상으로 돌아갔다. 음식 먹을 때 전혀 신경 쓰지 않고 먹고 있으며 발치한 곳 살도 조금씩 살이 차오르고 있다. 나중에 완전히 공간이 막히면 그 때 다시 글을 추가할 예정
결론
우선 천공이 발생했을 때 살이 차서 메워지기까지 통증이 지속적으로 발생한다. 계속 지속되다보니 약한 두통도 동반.. 이게 한 일주일 정도 발생했고 그 이후부터는 통증도 조금씩 사라지며 구멍도 어느정도 막아져서 물이 새거나 하진 않는다. 사랑니 빼고 최소 일주일 동안은 씹는 것도 신경써서 먹으면서 고생한다고 봐야할듯 하다. 2주 후 쯤이면 통증도 많이 가라 앉고 어느 정도 막혀있을 것이다.
'이야기 > 각종 후기' 카테고리의 다른 글
| 모니터암 거치대 NB F100A 높이 조절 방법 설치 후기 [크로스오버 Q27V5 27인치 모니터 사용] (2) | 2022.11.03 |
|---|---|
| 뒤늦은 CU 연세우유 우유생크림빵 후기(GS 브레디크 우유생크림빵과 비교)+초코생크림빵 (0) | 2022.10.22 |
| 신도림 디큐브시티 경복궁 생갈비/양념갈비 코스 간단 후기 (0) | 2022.07.23 |
| 연돈볼카츠 신길점 치즈 볼카츠 후기 (0) | 2022.06.15 |
| 강원도 평창 용평리조트 그린피아 콘도 B동 922호 38 타입 후기 및 평창 스키점프대 전망대 (0) | 2022.06.12 |